- Obecná cytologie
- Buněčné povrchy
- Tkáň epitelová a pojivová
- Svalová tkáň
- Trávicí systém
- Dýchací systém
- Močový systém
- Ženský pohlavní systém
- Mužský pohlavní systém
- Kožní systém
- Nervový systém
Trávicí systém
|
8[16] | tr008 | 2.10.2008 |
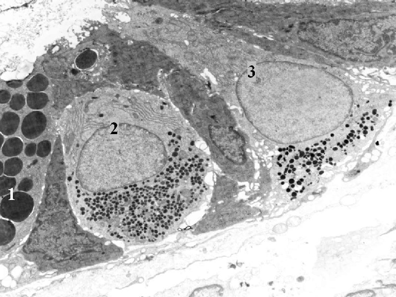
Enteroendokrinní buňky ve střevní kryptě - v blízkosti je Panethova buňka (1) - uzavřený (2) a otevřený (3) typ
endokrinní buňky.
|
|||


