- Obecná cytologie
- Buněčné povrchy
- Tkáň epitelová a pojivová
- Svalová tkáň
- Trávicí systém
- Dýchací systém
- Močový systém
- Ženský pohlavní systém
- Mužský pohlavní systém
- Kožní systém
- Nervový systém
Obecná cytologie
|
6[9] | ns006 | 2.10.2008 |
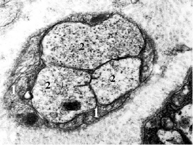
Nemyelinizované nervové vlákno: cytoplazma Schwannovy buňky (1), výběžky nervových buněk (2).
|
|||


