Přeskočit navigaci

Obecná cytologie

Index page Previous page Next page 2[9] ns002 10.2.2007

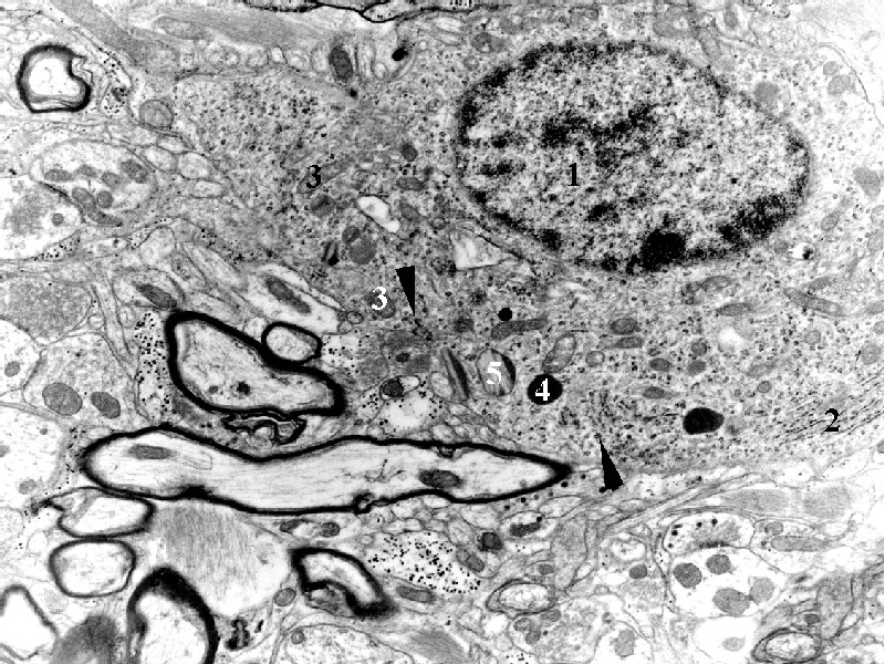
Ultrastruktura astrocytu: jádro (1), granulární endoplazmatické retikulum (2), mitochondrie (3), lyzosomy (4). Na šipkách polyribosomy.
V okolním neuropilu nervová vlákna a synapse.