- Obecná cytologie
- Buněčné povrchy
- Tkáň epitelová a pojivová
- Svalová tkáň
- Trávicí systém
- Dýchací systém
- Močový systém
- Ženský pohlavní systém
- Mužský pohlavní systém
- Kožní systém
- Nervový systém
Močový systém
|
8[8] | moc008 | 2.10.2008 |
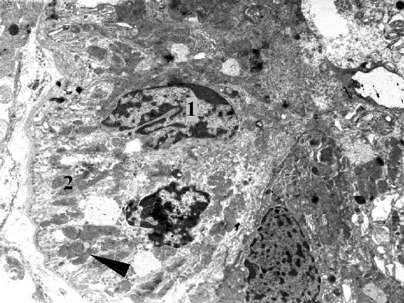
Epitel proximálního tubulu v TEM: jádro (1), bazální labyrint (2) a mitochondrie (šipka).
|
|||

