Přeskočit navigaci

Tkáň epitelová a pojivová

Index page Previous page Next page 5[8] ep005 2.10.2008

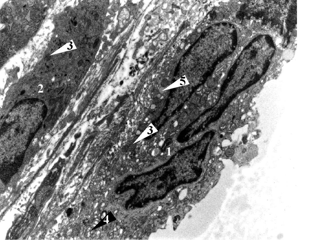
Obrovská mnohojaderná buňka (1) (vzniká z tkáňových makrofágů v důsledku přítomnosti cizorodých částic)
a fibrocyt (2). V cytoplazmě mitochondrie (3), sekundární lyzosomy (4) a tukové vakuoly (5).