Přeskočit navigaci

Obecná cytologie

Index page Previous page Next page 2[15] cyt002 10.2.2007

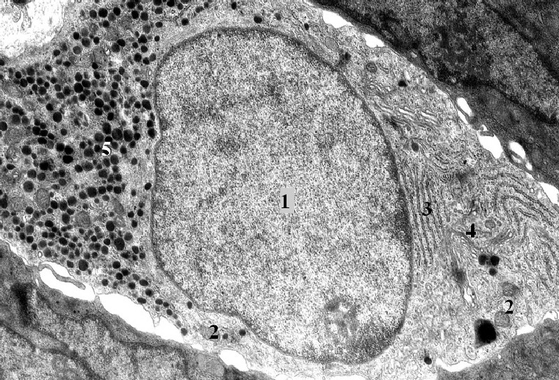
Enteroendokrinní buňka střevního epitelu se zřetelně polarizovanými organelami: jádro (1), mitochondrie (2),
zrnité endoplazmatické retikulum (3), Golgiho komplex (4), vakuoly a sekreční granula (5)